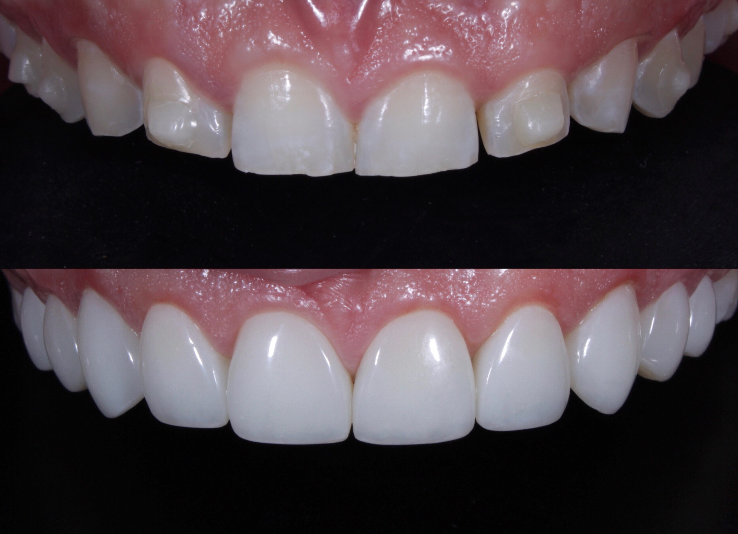
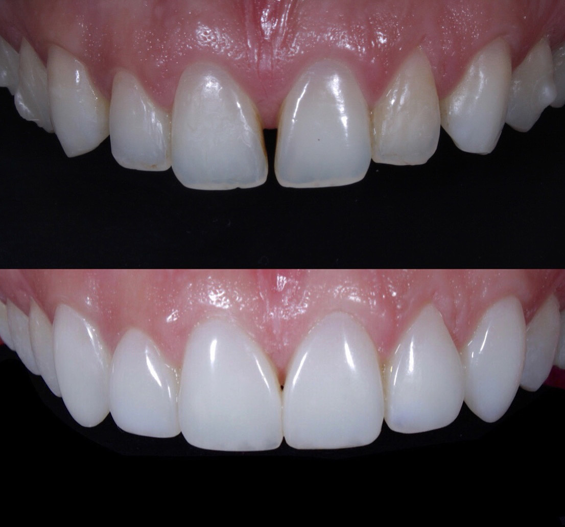
QUER TER UM SORRISO PERFEITO?
Agende o seu TESTE DO SORRISO com o Dr. Eduardo Theza
(referência em resinas compostas em MG).

Consulte as próximas datas para os próximos meses.
Incluso fotografia, resinas e simulação do resultado
Resina importada que não escurece, sem desgastes nos seus dentes, com garantia de 5 anos.
Resina importada que não escurece, sem desgastes nos seus dentes, com garantia de 5 anos.
A resina composta é um material moderno usado em restaurações dentárias formada por 3 componentes.
São eles a matriz orgânica, a carga inorgânica e o agente de união. Essa mistura resulta em um material com coloração bastante similar aos dentes.
Sendo assim, seu uso se tornou comum por apresentar resultados estéticos superiores à tradicional obturação feita com amálgama que geralmente resultavam em dentes escuros e esteticamente feios.
Solicitar uma Avaliação